O NAS
ZAKRES USŁUG
DLA LEKARZY
KONTAKT
PRZYGODA ŻYCIA
ZAKRES NASZYCH USŁUG
DIAGNOSTYKA RYZYKA CHORÓB ZĘBÓW I PRZYZĘBIA
USUWANIE ZŁOGÓW
DIAGNOSTYKA WCZESNYCH ZMIAN PRÓCHNICOWYCH
NIEINWAZYJNE LECZENIE CHORÓB TWARDYCH TKANEK ZĘBÓW
LECZENIE MINIMALNIE INWAZYJNE
REKONSTRUKCJE I KOREKTY ESTETYCZNE
UZUPEŁNIANIE BRAKÓW JAKOŚCIOWYCH I ILOŚCIOWYCH
LECZENIE SPECJALISTYCZNE
LECZENIE ENDODONTYCZNE
WYBIELANIE I ODBUDOWA ZĘBÓW
LICÓWKA
REKONSTRUKCJA POURAZOWA
MOST Z MATERIAŁU ZŁOŻONEGO
KOREKTA DIASTEMY
KOREKTA KOLORU I KSZTAŁTU
LECZENIE UBYTKÓW NIEPRÓCHNICOWEGO POCHODZENIA
UZUPEŁNIENIA PROTETYCZNE
REKONSTRUKCJE
W ODCINKU BOCZNYM
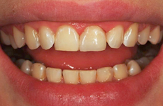
LICÓWKA Z MATERIAŁU ZŁOŻONEGO W MIEJSCU
UTRACONEJ LICÓWKI CERAMICZNEJ
PRZED
PO