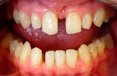
KOREKTA KOLORU I KSZTAŁTU SIEKACZY CENTRALNYCH
U tej pacjentki leczenie przeprowadzono zgodnie z jej prośbą bez zbędnego opracowywania zębów.
Kształt po wybielaniu zmodyfikowano wyłącznie poprzez dolożenie materiału.
| PRZED | PO |
|---|---|
![]() |
![]() |
SUBTELNE I POWAŻNIEJSZE NIEINWAZYJNE KOREKTY KSZTAŁTU
| PRZED | PO |
|---|---|
![]() |
![]() |
![]() |
![]() |
| Przed zabiegiem | Po zabiegu |
|---|---|
![]() |
![]() |
Korekta kształtu wielu zębów materiałem złożonym u pacjentki po leczeniu ortodontycznym
| Przed zabiegiem | Po zabiegu |
|---|---|
![]() |
![]() |
Korekta kształtu zębów szczęki
| Przed zabiegiem | Po zabiegu |
|---|---|
![]() |
![]() |
Korekta wysokości zwarcia i kształtu koron wielu zębów u pacjentki obciążonej chorobą ogólnoustrojową
![]() |
![]() |
Korekta kształtu siekacza bocznego














